Новые методы исследования задают новые стандарты для привычных приложений. В частности, в последние годы крайне интенсивное развитие получили технологии секвенирования третьего поколения. Продукты таких компаний, как Oxford Nanopore Technologies, задают новые стандарты пробоподготовки: теперь исследователи заинтересованы в получении высокомолекулярных фрагментов ДНК из самых различных образцов.
Классическим методом для получения длинных фрагментов ДНК считается экстракция фенол-хлороформом. Однако, сейчас этот прием встречается всё реже, и на это есть веские причины. Во-первых, фенол и хлороформ - токсичные легковоспламеняющиеся вещества, и работать с ними опасно. Во-вторых, методика включает множество этапов, требующих крайней аккуратности, а затем требуются дни для качественной элюции ДНК в раствор.
К счастью, появляется всё больше альтернативных методов выделения высокомолекулярной ДНК. Некоторые из них основаны на связывании с магнитными шариками, другие используют традиционное высаливание и преципитацию, существуют решения на основе кремниевых спин-колонок. Однако, все эти решения имеют существенные ограничения по длине полученных фрагментов, большинство не могут выделять фрагменты хорошего качества длиннее 200 Kb. На помощь приходят новые наборы от компании New England Biolabs.

Компания New England Biolabs представляет два новых набора для выделения высокомолекулярной ДНК (High molecular weight DNA или HMW DNA).
Разработаны протоколы для быстрой и продуктивной работы с различными образцами:
-культурами клеток и кровью (NEB T3050)
-тканей и бактериями (NEB Т3060).
В наборах реализована новая, запатентованная технология использования крупных, гладких стеклянных бусин для преципитации высокомолекулярной ДНК. Методика обеспечивает высокий выход длинных ДНК фрагментов отличного качества и чистоты, не требующие дополнительной подготовки перед дальнейшим использованием, например для секвенирования длинных прочтений (Oxford Nanopore Technologies).
Главные преимущества наборов:
Схема выделения высокомолекулярной ДНК с помощью наборов "Monarch® HMW DNA Extraction Kit", очень схожа с привычной работой на спин-колонках и включает те же этапы: лизирование, связывание ДНК, промывку и элюцию.
Однако есть и отличия:
Образец лизируется в две стадии. На первом этапе разрушается только цитоплазматическая мембрана, а ядро остается неповрежденным, что обеспечивает эффективную работу РНКазы А. Только на втором этапе лизируется мембрана ядра, высвобождается гДНК и резко повышается вязкость раствора. Затем ДНК из раствора связывается с поверхностью стеклянных бусин, словно «наматываясь» на них. Именно эта особенность позволяет получать молекулы длинной до 1 Mb. Во время элюции ДНК не повреждается механически, как при использовании магнитных шариков, а выход продукта зависит только от объема внесенного образца и не ограничен производительностью мембраны, как при использовании спин-колонок.
При работе с кровью к вышеупомянутой схеме добавится дополнительный этап лизиса эритроцитов. Благодаря этому шагу из раствора удаляются эндонуклеазы, появляется возможность работать с бóльшим объемом крови, и увеличивается чистота выделенной ДНК. Протокол работы с тканями включает дополнительный этап гомогенизации и сепарации белков, что также значительно повышает качество конечного продукта. Однако, выполнение всех шагов, включая дополнительные, займет у вас не более 90 мин.
Еще один бонус от производителя этого набора: возможность регулировать длину выделяемых фрагментов ДНК. Если центрифугирование на этапе лизиса проводить на скорости 2 000 об/мин, будут получены молекулы длиной около 50-250 Kb. При этом параметр N50 на 4-8 Kb выше, чем при подготовке библиотек с помощью других коммерческих наборов, что повышает качество всего сиквенса. Если центрифугирование проводить на низких скоростях (300 об/мин), то длина полученной молекулы будет достигать 1 Mb и более. Ни один другой набор, не позволяет выделять ДНК такой длины из крови.
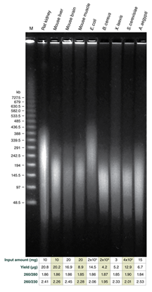
Ниже приведены электрофореграммы ДНК, выделенных при разных скоростях центрифугирования и из различных образцов (Рис 2,3,4). В сопровождающих таблицах указаны показатели качества выделения: выход продукта, чистота, индекс целостности. Обратите внимание на воспроизводимость результатов выделения.

|
|
| Рис 3. Пульс-электрофорез (в 1% агарозном геле, 6 V/cm, 13С, 20 часов время импульса 0,5-94 сек, BioRad® CHEF-DR® III System) образцов высокомолекулярной ДНК (500нг), выделенных с помощью "Monarch® HMW DNA Extraction Kit" из разных источников: 10 мг замороженая почка крысы, 10 мг печень мыши, 20 мг замороженный мозг мыши, 20 мг мышцы мыши, 2×109 клеток E.coli, 10 мг замороженных клеток B. cereus, 4мг X. Laevis, 3.8×108 клеток S. cerevisiae, 15мг A.aegypti. М – маркер Lambda длин ДНК для пульс-электрофореза (N0341 S). Скорость центрифугирования на этапе лизиса 2000 об/мин. Выход продукта и чистота каждого образца указаны в таблице. | Рис 4. Пульс-электрофорез (в 1% агарозном геле, 6 V/cm, 13С, 20 часов время импульса 0,5-94 сек, BioRad® CHEF-DR® III System) образцов высокомолекулярной ДНК(300 нг рис.4А, 500 нг рис.4B), выделенных с помощью "Monarch® HMW DNA Extraction Kit" из разных источников: 10 мг почка мыши(рис.4А), 1×109 клеток E.coli (рис.4B). М – маркер Lambda длин ДНК для пульс-электрофореза (N0341 S). Скорость центрифугирования на этапе лизиса 2000 об/мин. Выход продукта, индекс целостности и чистота каждого образца указаны в таблице. |
Параметр A260/280≈1,9 и индекс целостности DIN≈9,8 свидетельствуют о том, что выделенная ДНК интактная, практически не денатурированная. Это достигается благодаря отсутствию химического связывания с бусинами. Также приятно радует отсутствие ограничения по производительности. Выход ДНК зависит только от объема исходного образца. Для клеток и крови наблюдается линейная зависимость выхода продукта, от объема внесенного материала (Рис 5).
Как уже упоминалось, очищенная высокомолекулярная ДНК подходит для различных дальнейших применений, включая секвенирование длинных прочтений (Oxford nanopore technologies), оптическое картирование. Вы можете ознакомиться с результатами секвенирования ДНК, выделенной из образцов HEK293, крови человека и почки мыши, на платформе Oxford nanopore technologies (Рис 6.)
Таким образом, мы видим, что перед нами действительно удобный и качественный новый продукт, который поможет сделать работу в лаборатории быстрее и безопаснее, по сравнению с классическими методами. Широчайший выбор образцов: культуры клеток, кровь, ткани млекопитающих, бактерии, насекомые и амфибии, делает продукт практически универсальным.
В наборах вы найдете всё необходимое для выделения и очистки высокомолекулярных образцов ДНК. Кроме того, каждый компонент набора можно приобрести отдельно.
| Артикул | Наименование |
| T3050 S | Набор для выделения высокомолекулярной ДНК из образцов клеток и крови "Monarch® HMW DNA Extraction Kit" (5 реакций) |
| T3050 L | Набор для выделения высокомолекулярной ДНК из образцов клеток и крови "Monarch® HMW DNA Extraction Kit" (50 реакций) |
| T3060 S | Набор для выделения высокомолекулярной ДНК из образцов ткани "Monarch® HMW DNA Extraction Kit" (5 реакций) |
| T3060 L | Набор для выделения высокомолекулярной ДНК из образцов ткани "Monarch® HMW DNA Extraction Kit" (50 реакций) |
Дополнительную информацию о пробоподготовке и работе с высокомолекулярной ДНК вы можете найти на сайте производителя: